AppointmentS 310.273.7200

Smile Gallery

We are very proud to present you our exclusive Smile Gallery.

All cases and photographs are genuine and from actual procedures that have been performed at our office by Dr. Amir H. Motamed.

Unlike many dental offices that purchase dental photographs and case reports for online and in-office presentations, all of our photographs are unique and depict the delicate care and attention to detail that we are known for.

Enjoy…

Smile Recontouring

Before

After

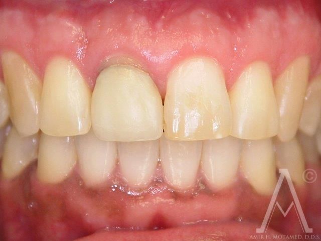
Our patient had a left central incisor tooth that was elongated and loose. Cosmetically he desired a more even smile.

The front teeth were re-contoured. This not only improved the smile but also made the loose front tooth stable by adjusting a heavy bite point from the lower teeth.

Crown Replacements

Before

After

A considerable aspect of our practice is performing secondary treatment or re-doing standard or sub-standard procedures that have been done elsewhere.

Our patient here disliked the shape and color of her previous crowns.  The poorly fitting restorations also contributed to secondary decay underneath her crowns.

Conservative treatment was performed by bleaching her teeth and replacing the front four crowns. This created better harmony with the adjacent teeth and brought her smile to the next level by creating a more youthful appearance.

Crown Replacements

Before

After

A large part of our practice is performing secondary treatment or re-doing standard or sub-standard procedures that have been done elsewhere.

Our patient disliked the shape and color of her porcelain veneers.

Due the unusually large amount of tooth reduction that had been done at another dental office for the porcelain veneers, full coverage crowns were indicated for definitive treatment.  Treatment was performed by bleaching the teeth and replacing the front four restorations. This created better harmony with the lip structure and adjacent teeth and created a much more natural and youthful appearance.

Single Crown Replacement

Before

After

Matching teeth by doing a single crown restoration of a front tooth is by far the most challenging cosmetic restoration that dentists face.  Indeed, this is why a majority of dentists opt for treating six to ten teeth.

Treating more teeth would not only be considerably easier with respect to shade matching, but also more lucrative for the practitioner.

At our office, we take pride at providing exceptional conservative treatment. This means less invasive procedures, less tooth reduction and less total expense.

The single discolored restoration in the front was replaced by a crown to create a very natural smile.

Internal Bleaching

Before

After

Many Root Canal treated or non-vital teeth darken with time, ruining a beautiful smile.

While many dentists opt to cover the dark tooth with a restoration, Internal Bleaching is a much more conservative option.

Here , the above canine tooth was treated by Internal Bleaching.  The second photograph is the result after one year.

Crowns on Front teeth

Before

After

Every patient is unique and what is a big concern for some patients is not a concern for others.  It is very important to treat patients as individuals and custom-tailor the treatment according to their needs.

The above patient did not like her front two teeth, but was happy with the color of her teeth.  She did not want her teeth lightened by bleaching and only wanted the front two teeth fixed.

Crowns were done on the front two teeth and in harmony with the adjacent teeth.

Crown Replacements

Before

After

A large part of our practice is performing secondary treatment or re-doing standard or sub-standard procedures that have been done elsewhere.

Our patient here disliked her opaque looking and chicklet shaped crowns.  She desired to replace them with more natural-looking crowns.

Treatment was performed by replacing the front four crowns. This took the main attention off the crowns and placed it on the whole smile.  The natural crowns created better harmony with the lips and adjacent teeth and brought her smile to another level by creating a more elegant and refined appearance.

Composite Restoration

Before

After

The front tooth was chipped and restored with a composite restoration.

By doing the composite restoration in layers, a very natural result could be obtained.

Composite Restoration

Before

After

The corner of the left front tooth was chipped and restored with a composite restoration.

By doing the composite restoration in layers, a very natural result could be obtained.

Implant Restoration of a Lateral Front Tooth

Before

After

The front lateral incisor was lost and replaced with an implant retained Porcelain Crown.

Harmony is restored to the smile.

Implant Restoration of a Front Tooth

Before

After

The front tooth was lost. The large resultant space was successfully restored with an implant retained Porcelain Crown.  The natural-looking restoration is virtually undetectable.

Single Crown Replacement & Composite Augmentation

Before

After

The large, disproportional and opaque-looking crown concerned our patient.

Matching teeth by doing a single crown restoration of a front tooth is by far the most challenging cosmetic restoration that dentists face.  Indeed, this is why a majority of dentists opt for treating six to ten teeth.

In order to provide our patient with quality conservative treatment, the left front crown was replaced and the adjacent central tooth was augmented with composite resin (without the need for any drilling)  in order  to create an even width in relation to the tooth on the left.

Note the detailed color and texture of the crown in relation to the to the teeth next to it.  It is difficult to ascertain the restorations.

At our office, we take pride at providing exceptional conservative treatment. This means less invasive procedures, less tooth reduction and less total expense.

Diastema Closure with Composite

Before

After

Our patient was concerned with the open space between her two from teeth.

A Composite Diastema Closure performed in one appointment dramatically improved her smile and provided her with a more sophisticated appearance.

Fixed Bridge

Before

After

Our patient presented with an unusually large space to close using only one tooth replacement.

Using a wax duplicate of the teeth, the proportions of the teeth were measured and the appropriate treatment was planned long before the start of the procedure.

The six front teeth were bridged together to create better stability and a very harmonious smile.

Porcelain Veneers

Before

After

Due to gingival (gum) recession, prominent dark triangles were visible between teeth.  The teeth were also worn down and shortened due to wear and grinding.

Porcelain veneers were done on the upper front teeth to change the shape and size of teeth and create a more youthful smile.

Porcelain Veneers

Before

After

Over time, teeth can not only wear down, but also move, creating unwanted spaces.

Typically, six to ten Porcelain Veneers are indicated to restore the teeth and create a broader smile.  Treatment planning is always done with our patient’s input.

The above smile was restored with six Porcelain Veneers upon discussion with our patient.

Utilizing photographs and wax and computer models beforehand, the teeth are symmetrically and naturally matched and conform very well to the surrounding soft tissue.

Composite Restoration

Before

After

The broken front tooth was restored with composite resin.

Care was taken to duplicate and match the natural grooving pattern that is apparent on the edge of newly-erupted teeth.

Full Mouth Reconstruction

Before

After

Extreme wear evident is apparent due to decades of use and grinding.

The collapsed bite was opened by restoring all 28 teeth with crowns.  The second photograph was taken after the cementation of crowns.  All spaces in between the teeth were closed within a month as the gum tissue healed around the new restorations.

Full Mouth Reconstruction

Before

After

Extreme wear evident is apparent due to decades of use and grinding.

The collapsed bite was opened by restoring all 28 teeth with crowns.

Notice the spaces in between the teeth were closed within a month as the gum tissue healed around the new restorations.

Composite Restorations

Before

After

Patient wanted to close the interdental space between his two teeth without invasive procedures.

The teeth were augmented with Composite Resin without any drilling or tooth reduction.

Home Bleaching and Single Crown Replacement

Before

After

Our patient was unhappy with the color of his teeth and the poorly matching restoration he had on his Central Incisor.

Matching teeth by doing a single crown restoration of a front tooth is by far the most challenging cosmetic restoration that dentists face.  Indeed, this is why a majority of dentists opt for treating six to ten teeth.

At our office, we take pride at providing exceptional conservative treatment. This means less invasive procedures, less tooth reduction and less overall treatment cost.

Home bleaching was done to lighten the teeth. The defective crown was then replaced to create a very natural smile using minimally invasive procedures.

Before

After

Our patient was unhappy with the color of his teeth and the poorly matching restoration he had on his Central Incisor.

Matching teeth by doing a single crown restoration of a front tooth is by far the most challenging cosmetic restoration that dentists face.  Indeed, this is why a majority of dentists opt for treating six to ten teeth.

At our office, we take pride at providing exceptional conservative treatment. This means less invasive procedures, less tooth reduction and less overall treatment cost.

Home bleaching was done to lighten the teeth. The defective crown was then replaced to create a very natural smile using minimally invasive procedures.

Crown & Bridge Restorations

Before

After

Every case is unique and should be treatment planned taking into consideration  patient’s physical and psychological health, expectations, desire for limited or more comprehensive treatment and financial ability.

Our patient was unhappy with his unattractive and dated dental work and yellow teeth.

Upon consultation with our patient, the teeth were bleached.  The upper  three-unit bridge was replaced and three lower crown restorations were placed, dramatically improving the smile with very limited invasive treatment.

Skip to content